Best treatment for Cortical Venous Sinus Thrombosis: Symptoms and Treatments Cortical Venous Sinus Thrombosis (CVST) is a rare but serious condition that occurs when a blood clot forms in the brain’s venous sinuses, preventing blood from draining out of the…
Expert Management of Nerve Entrapment Conditions in Thane Nerve entrapment conditions, such as cubital tunnel syndrome or thoracic outlet syndrome, can cause significant discomfort and limit mobility. Dr. Deepak Aiwale specializes in diagnosing and treating these conditions using a combination…
Nerve Injury Treatment: Specialized Neurological Care Nerve injuries can result from trauma, accidents, or medical conditions, leading to pain, weakness, or loss of function in the affected area. Dr. Deepak Aiwale specializes in diagnosing and treating nerve injuries, offering patients…
Expert Care for Autism: Neurological Insights for Better Management Autism Spectrum Disorder (ASD) affects how individuals communicate and behave, with symptoms often appearing in early childhood. Dr. Deepak Aiwale offers a compassionate and expert approach to managing autism, utilizing the…
Meningitis Treatment: Early Diagnosis Saves Lives Meningitis is a serious infection of the protective membranes surrounding the brain and spinal cord, often caused by bacteria or viruses. Dr. Deepak Aiwale, one of the leading neurologists in Thane, emphasizes the importance…
Neuropathic Pain: Advanced Treatments for Lasting Relief Neuropathic pain results from nerve damage and is often chronic and difficult to manage with standard pain medications. Dr. Deepak Aiwale offers specialized care for patients suffering from neuropathic pain, using cutting-edge therapies…
Understanding Carpal Tunnel Syndrome: Symptoms and Treatment Options Carpal Tunnel Syndrome (CTS) occurs when the median nerve, which runs through the wrist, becomes compressed. This can cause pain, numbness, and tingling in the hand and arm. Dr. Deepak Aiwale provides…
Autoimmune Encephalitis: Comprehensive Care for a Complex Condition Autoimmune encephalitis is a rare condition in which the body’s immune system mistakenly attacks the brain, leading to a variety of neurological symptoms such as memory problems, seizures, and confusion. Dr. Deepak…
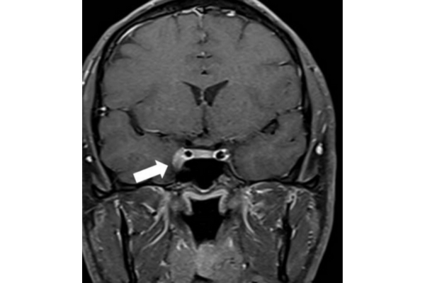
Tolosa Hunt Syndrome: Accurate Diagnosis and Effective Treatment Tolosa Hunt Syndrome (THS) is a rare disorder characterized by painful eye movements and headaches caused by inflammation of the cavernous sinus. As the condition can mimic other neurological diseases, an accurate…
Advanced Care for Glioma: Expertise in Brain Tumor Management Gliomas are a type of brain tumor that arises from glial cells, which support the nerve cells in the brain. They can be benign or malignant, but both types require specialized…